For a couple of weeks now, my left foot has given me some pain. Tuesday, I ran a quick 2 miles on the treadmill, then had to scoot since Sue had an early meeting so it was my day to get the kids out of bed and to school.
On Wednesday, the team met at a local YMCA to start a 5-mile run. My foot was hurting more than in the past, so I stopped after less than half of a mile and walked back to the car. I knew it was time to see the doctor and had the right doctor in mind. She is a sports medicine specialist and very well known by most of the people I run with. I called Thursday and was able to see her the next day. She is unsure of the exact nature of my injury but is either a stress fracture of the fifth metatarsal or peroneal tendonitis. I got an anatomy lesson.
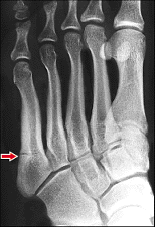
The fifth metatarsal is basically the bone that connects to the little toe on the left side of my left foot.
The peronial tendon is the tendon that wraps behind the ankle and connects to the fifth metatarsal. Peroneal tendonitis is the inflammation of that tendon.
To determine if it is a stress fracture, I am having a bone scan done on Tuesday. That is basically a reverse x-ray where trace radioactive material is injected into my body and a few hours later is read by (basically) a Geiger counter). Oh goodie -- I get to have even more radiation than I got from living almost next door to the nuke plant at Three Mile Island during the near melt-down in the 1979 accident. The good doctor is seeing me on Wednesday to review the x-rays and plot out a course of action. For the tendonitis, I can run while fixing it. For a stress fracture, I get to rest for a month and call off the half-marathon quest.

No comments:
Post a Comment